无论你选择成为母亲或是把爱都给自己,
希望你都能开心❤️
患者张女士(化名)因婚后多年未孕跨省前来就诊,造影显示双侧输卵管堵塞,进一步三维超声离奇发现:先天性生殖系统畸形——双宫颈、双宫腔(即两个独立宫颈+两个分离的子宫腔)

此类手术在国内报道不足20例,发生率万分之一到万分之三,常规的宫角定位标志完全失效,导丝的每一次试探都可能触碰到薄弱的子宫壁,导致子宫穿孔大出血。对医生的解剖学功底、微创操作技巧要求极高。武汉市第三医院介入医学科主任谭一清教授凭借年均900+例输卵管介入手术经验,成功突破手术禁区。
第一道难关:“辨路”

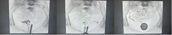
常规造影剂推注会瞬间弥散,无法在双宫腔结构中提供精细路径。谭一清教授果断采用微量造影分步显影法——每一针造影剂仅推注0.2毫升,逐层“绘制”宫腔三维形态,在屏幕上像拼图一样,一点点拼出两个宫腔的完整轮廓。
第二道难关:“探路”
依据宫腔轮廓反向推断,输卵管开口极有可能隐藏在右侧宫角肌性隔断的后方。但这个位置,常规导管根本无法触及。谭一清教授立即换用头端可塑形微导管,将导管头端弯成15度的完美弧度,绕过错综复杂的肌性隔断,稳稳抵达目标位置——误差不超过1毫米。
第三道难关:“开路”
我的手就是尺
导丝即将通过闭塞段时,阻力突然增大,屏幕显示导丝前方疑似存在坚韧的纤维化组织。强行通过,可能导致假道形成甚至穿孔。谭一清教授当机立断,采用娴熟的微幅震颤,配合少量局部润滑剂,让导丝像“水刀”一样,顺着组织间隙自然滑过。屏幕上,导丝尖端轻轻一跃,当造影剂如释重负般在输卵管弥散开来——通路打开了!

谭一清教授拇指与食指的每一次旋转,轻柔得如同托起一片羽毛。整整10分钟手术过程中,手术室里只听得见仪器的滴答声。
用一根导丝疏通生命的通道,敢啃硬骨头,是实力,更是真功夫。
【别放弃,你离好孕只差这一步 ☎️ 027-65399881】