乳牙蛀了别等换!及时治疗真的不是小题大做。
很多家长一看到孩子乳牙发黑、有小洞,第一反应都是:反正乳牙要换掉,等换牙就好了,不用治。还有人觉得,孩子小,治牙哭闹又受罪,能拖就拖。
但作为口腔从业者,我必须认真说一句:乳牙龋坏,拖不得,更不能不治。及时治疗,不是为了一颗迟早要掉的牙,而是为了保护孩子的恒牙、发育、颜值和健康。
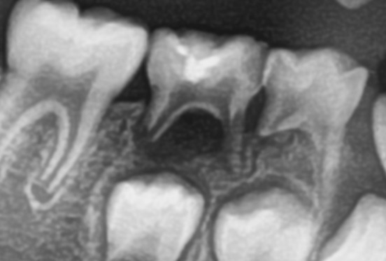
很多人不理解,乳牙只是“临时牙”,坏了为什么还要花钱花时间治疗?其实乳牙在孩子口腔里,要“服役”6~10年,从长牙到换牙完成,跨度极长。而且乳牙的牙釉质薄、矿化程度低,一旦蛀牙,进展速度比成人快好几倍,今天一个小黑点,可能几个月就烂到牙神经。
浅龋时没有痛感,家长容易忽视,可细菌不会停。从牙面到牙本质,再到牙髓,一步步破坏,最后引发牙髓炎、根尖炎,孩子开始半夜疼醒、不敢吃饭、牙龈起脓包,甚至半边脸都肿起来。到这一步再治疗,不仅流程更复杂、孩子更遭罪,费用也会比早期补牙高出好几倍。

乳牙烂了不及时治,最让人担心的,是直接影响下面的恒牙胚。每一颗乳牙下方,都藏着一颗正在发育的恒牙,就像种子在土里,乳牙是保护种子的土壤。
长期不管的蛀牙,炎症会顺着牙根蔓延到根尖,持续破坏恒牙胚,可能导致恒牙釉质发育不全,新牙长出来自带黄斑、缺损,质地更脆弱,更容易蛀牙。更常见的是,乳牙因为烂得太严重提前脱落,缺牙空隙被两边牙齿挤占,等恒牙萌出时,空间被占,只能歪着长、挤着长,最后一口牙参差不齐,长大后必须矫正,费时费钱又受罪。

除了伤害恒牙,乳牙龋坏还会悄悄影响孩子的生长发育。
牙齿的核心功能是咀嚼,乳牙烂了、疼了,孩子会下意识只用一侧吃饭,或者避开硬的食物,只吃软食、流食。长期偏侧咀嚼,会造成大小脸、面部发育不对称;咀嚼不足,食物没有磨碎就进入肠胃,加重消化负担,容易积食、腹胀、食欲差,长期下来营养吸收不足,直接影响身高体重和免疫力。
很多家长拼命给孩子补这补那,却忽略了最基础的一口好牙,其实牙齿不好,吃再多营养品也很难吸收。

同时,乳牙还关系到孩子的语言发育和心理健康。
前牙是发音的重要辅助,蛀牙缺损、提前脱落,会导致说话漏风、齿音不清,在语言发育关键期,容易形成习惯性发音错误,后期纠正难度很大。而一口发黑烂牙,也会让孩子不敢大笑、不敢说话,在集体中被同伴玩笑,慢慢变得自卑内向,影响性格和社交。

看到这里,相信你已经明白,治疗乳牙蛀牙,从来不是“多此一举”。
早期浅龋,只需要简单去腐、补牙,一次就能完成,微创无痛,花费少,孩子配合度高。等到疼了、肿了、烂穿了,就需要根管治疗、消炎、拔牙,甚至做间隙保持器,不仅流程繁琐,孩子心理阴影也更大。
在这里也给家长们几句实在建议:每天帮孩子做好口腔清洁,少喝含糖饮料、少吃黏甜零食,每3~6个月带孩子做一次口腔检查,做到早发现、早干预。发现蛀牙,不要犹豫,及时治疗,才是最省钱、最省心、对孩子最好的选择。
乳牙虽小,责任重大。它守护的不只是吃饭,更是孩子恒牙的未来、面部的发育、健康的身体和自信的笑容。别让“反正要换牙”的误区,耽误孩子一辈子的口腔健康。