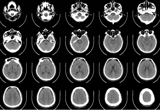
近期,我科完成了一例慢性硬膜下血肿手术。该患者男性,63岁,是因为“摔伤头部半年,记忆力下降,思维迟钝大约20天” 在当地医院就诊,行颅脑CT提示双侧额颞顶部慢性硬膜下血肿,脑疝,CT片可见慢性血肿有很多分隔。当地医院医生建议患者分二次行双侧开颅手术,清除硬膜下血肿,创伤很大,手术后需要住ICU,而且住院时间很长,费用高。患者家属犹豫不决,担心手术风险,于是带着CT片到我科门诊咨询。门诊孟主任阅片后告知家属,我科可以通过神经内镜微创手术治疗慢性硬膜下血肿,可以一次手术,手术创伤小,风险低,费用少,住院时间短,大约10天左右就可以出院,而且手术后不需要住ICU,于是家属当天下午就驱车带患者来我科住院。管床医生涂医生仅用一天时间就完成全部术前检查,第二天就安排了手术。手术中通过神经内镜观察到慢性硬膜下血肿有很多的分隔及纤维组织,与可自行流出的液态慢性血肿相比,该患者需通过吸引器反复仔细吸除血肿分隔及纤维组织,同时反复盐水、双氧水冲洗,避免血肿残留及复发。手术过程很顺利,术后患者清醒,无任何神经功能障碍及并发症,手术后10天患者治愈出院,在后期随访观察中,未见慢性血肿复发。
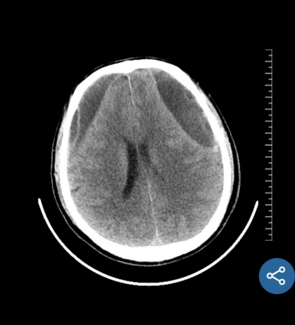
术前当地医院CT


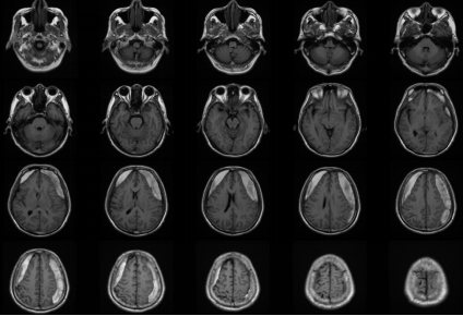
术前磁共振

神经内镜血肿清除术


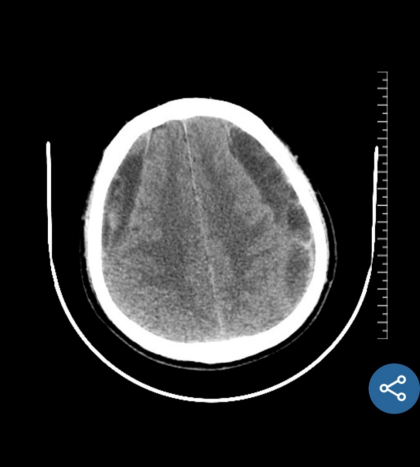
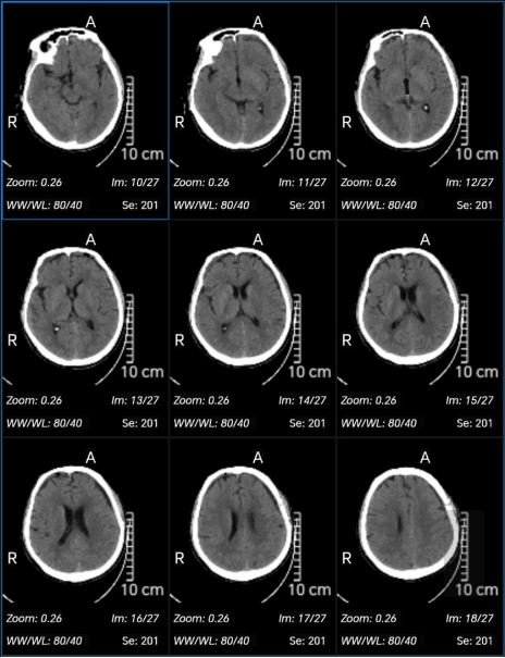
术后第1天CT

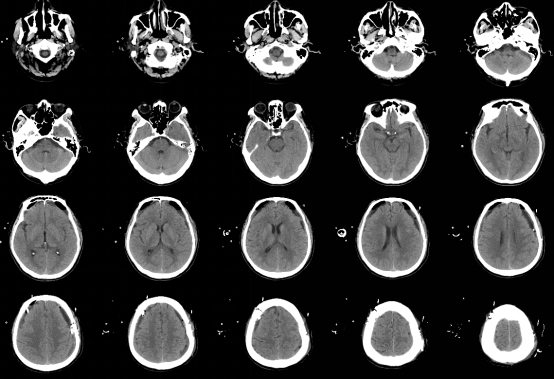
术后第4天CT

随访CT
