他以为只是普通腹痛,却不知一场危及生命的“决堤”正在腹腔内上演。医生们如何用一根细如发丝的导管,精准封堵“破口”,力挽狂澜?
60岁的王先生(化名)被面色惨白,满头冷汗,捂着肚子痛苦地呻吟:“医生,我肚子……突然疼得受不了……”
这种突发的、剧烈的腹痛,往往预示着不祥。血压监测显示,他的血压正在持续下降!剧烈腹痛 + 休克体征,这是腹腔内大出血的典型信号!

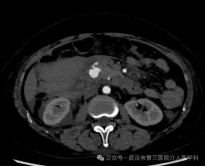
紧急的增强CT检查结果,证实了我们的最坏猜想:肠系膜上动脉的一个分支上,有一个动脉瘤破裂了! 血液正从破口不断涌入腹腔。


什么是肠系膜上动脉分支动脉瘤?
您可以把它想象成人体腹腔内一根至关重要“河流”(肠系膜上动脉)的“小支流”管壁上,鼓起了一个小气球(动脉瘤)。这个气球壁比正常的血管壁薄得多,在血流的持续冲击下,它随时可能“爆裂”。
这颗“炸弹”非常隐匿,平时多数没有任何症状。患者可能因体检偶然发现,也可能像王先生这样,以“破裂大出血”这种最凶险的方式首次登场。一旦破裂,死亡率极高,每一分钟都是在与死神赛跑。
传统的治疗方法是开腹手术:打开腹腔,在血泊中寻找破裂的血管,将其结扎或切除。这好比在洪水泛滥的灾区,先要奋力把水舀出去,才能找到决堤的堤坝口进行封堵。手术创伤大、视野不清、风险高,对于已经休克的患者来说,无疑是雪上加霜。
我们迅速做出了决策:立即进行“急诊介入栓塞止血手术”!这是一种微创的“血管内手术”,是处理此类情况的首选方案。


微创“拆弹”:如何用一根导管力挽狂澜?
建立生命通道:我们立即在王先生的大腿根部的股动脉进行穿刺,建立了一个通往血管深处的“高速公路入口”。
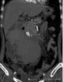
精准导航:在DSA透视的引导下,我们像“巡航导弹”一样,将一根细长而柔软的导管,从股动脉一路精准地“行驶”到肠系膜上动脉,最终抵达破裂的动脉瘤分支。
封堵“决堤口”:通过导管,我们向破裂的动脉瘤及其两端释放了数枚微小的 “弹簧圈” 。这些弹簧圈会迅速在破口处盘绕成团,形成一个致密的“塞子”,瞬间堵死破口,让血液无法再流出。

手术成功了! 屏幕上显示,破裂的血管不再造影剂外溢。这意味着,“决堤口”被成功封堵。整个过程,患者体表只有一个针眼大小的伤口。术后,王先生的血压很快稳定下来,脱离了生命危险。

王先生是幸运的,现代介入医学给了他第二次生命。这场深夜的“拆弹”行动,展现了放射介入学在急诊急救中的巨大价值——它以最小的创伤,解决了最致命的问题。
作为医生,我想告诉大家:突发的剧烈腹痛,切莫当作普通肠胃炎硬扛,尤其是伴有面色苍白、冷汗、心慌等症状时,请务必第一时间就医!时间就是生命,及时的诊断和正确的治疗手段,是战胜这类“隐匿杀手”的关键。